Full Mouth Rehabilitation

  • Home
  • /Full Mouth Rehabilitation
Research lab

Full Mouth Rehabilitation

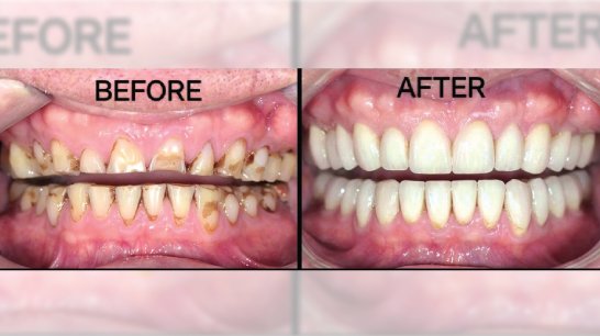
Full Mouth Rehabilitation is a comprehensive dental treatment designed to restore the function, health, and aesthetics of a patient’s entire mouth. It involves the diagnosis and treatment of multiple dental issues, such as missing or damaged teeth, bite misalignment, worn-out enamel, gum disease, and jawbone problems. The process typically includes a combination of restorative procedures like crowns, bridges, veneers, implants, and sometimes orthodontics or oral surgery. Tailored to individual needs, full mouth rehabilitation not only enhances the patient’s smile but also improves chewing, speaking, and overall oral health, significantly enhancing quality of life.