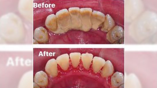
Dental Cleaning

Research lab

Dental Cleaning

It is an essential part of maintaining oral health, preventing gum disease, and ensuring that teeth and gums stay healthy. Regular dental cleanings are recommended every six months, although the frequency may vary based on individual oral health needs.The process begins, the dental hygienist or dentist will examine the mouth to check for any signs of oral issues, such as gum inflammation, cavities, or other dental concerns. After scaling, the hygienist uses a high-powered electric toothbrush and a gritty toothpaste for deep cleaning and polishing. Remove any remaining plaque and surface stains, leaving the teeth smooth and shiny.